기관지 확장증, 주요 증상과 치료 방법 총정리



기관지 확장증은 기관지의 비정상적인 확장을 의미하며, 이를 경험하는 환자들은 주로 가래, 기침, 호흡 곤란 등의 증상을 겪게 됩니다. 이러한 증상들은 일상생활에 큰 영향을 미칠 수 있으며, 질병의 원인과 치료 방법에 대한 체계적인 이해가 더욱 필요합니다. 이번 포스트에서는 기관지 확장증의 주요 증상과 치료 방법을 총정리하겠습니다. 살면서 알레르기나 감기와 같은 사소한 건강 문제를 겪으면서도, 내 몸의 변화에 대한 소홀함이 후에 큰 문제가 될 수 있음을 잊지 말아야 합니다.
기관지 확장증의 증상



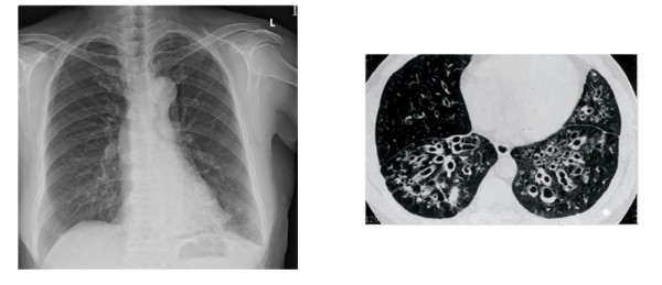
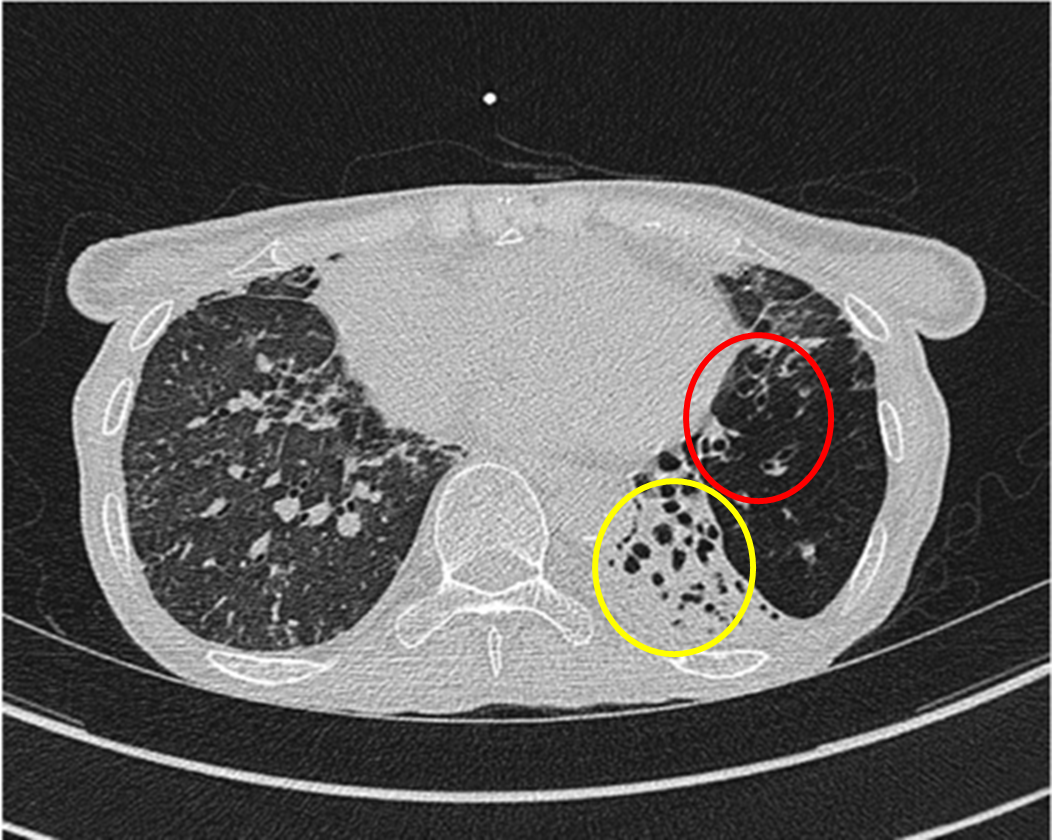
기관지 확장증은 폐의 기관지 구조가 손상 또는 염증에 의해 비정상적으로 확장되는 질병입니다. 이로 인해 환자는 여러 가지 증상을 경험하게 되며, 이러한 증상들은 질병의 중증도와 개인의 건강 상태에 따라 다를 수 있습니다. 대표적인 증상으로는 다음과 같은 것들이 있습니다.
- 지속적인 기침: 기침은 기관지 확장증 환자에게 가장 흔히 나타나는 증상 중 하나입니다. 기침은 비정상적으로 확장된 기관지에서 쌓인 가래를 배출하기 위한 자연스러운 반응입니다. 이 기침은 특히 아침에 심해지는 경향이 있으며, 환자는 종종 기침 후에 가래를 뱉어내는 경우가 많습니다.
- 가래: 기관지 확장증 환자들은 보통 많은 양의 가래를 생성합니다. 이 가래는 흔히 점액이 섞인 형태로 나타나며, 색상도 투명하거나 황색을 띨 수 있습니다. 만일 가래가 녹색이나 갈색으로 변한다면 이는 감염의 징후일 수 있으므로 유의해야 합니다.



- 호흡 곤란: 폐의 기능이 저하되면 호흡 또한 어려워지게 됩니다. 정상적인 폐 기능을 가지고 있다면 걷거나 가벼운 활동을 할 때 호흡이 어려운 일은 드물지만, 기관지 확장증을 앓고 있는 환자는 이러한 문제를 경험할 수 있습니다.
- 흉통: 기관지 확장증의 경우 흉부에 통증이 발생할 수 있습니다. 이 통증은 기침할 때 더욱 심해지는 경향이 있으며, 염증이나 감염이 동반되는 경우에는 통증이 심각해질 수 있습니다.
이 외에도 쌍수وك한 피로감이나 체중 감소 등의 전신 증상이 동시에 나타날 수 있으며, 이러한 증상들은 특히 질병이 장기간 지속될 경우 더욱 두드러집니다. 이러한 증상들은 단순한 호흡기 질환으로 치부할 수 없으며, 조기에 전문의의 진료를 받는 것이 중요합니다.
치료 방법



기관지 확장증의 치료는 각 환자의 증상과 질병의 원인에 따라 개별화됩니다. 여기서는 주요 치료 방법에 대해 자세히 설명하겠습니다. 치료 방법은 증상의 완화, 감염의 예방 및 폐 기능 향상을 목표로 하고 있습니다.
약물 요법



기관지 확장증 환자에게 가장 많이 사용되는 방법 중 하나는 약물 요법입니다. 이 치료 방식은 여러 가지 약물을 통해 증상을 관리하는 데 중점을 둡니다. 특히, 항생제는 이 질병에서 매우 중요한 역할을 합니다. 환자에게 감염이 발생한 경우, 적절한 항생제를 사용하여 염증을 줄이고 폐 기능을 개선할 수 있습니다.
흡입기 사용
기관지 확장증 환자들은 또한 흡입기를 사용할 수 있습니다. 흡입기는 기관지 확장을 돕고 가래를 쉽게 분비할 수 있도록 돕는 약물입니다. 이러한 흡입기는 기관지에 직접 작용하므로 빠른 효과를 기대할 수 있습니다. 문제는 사용 방법이 올바르지 않으면 효과가 감소할 수 있으므로 사용 전에는 의사의 설명을 충분히 듣는 것이 중요합니다.
물리 치료



또한, 기관지 확장증 치료에는 물리 치료가 포함될 수 있습니다. 물리 치료는 가래를 배출하기 위한 기법으로, 환자가 스스로 기침을 하거나 호흡 운동을 통해 건강한 폐 기능을 유지하도록 도와줍니다. 이런 방법들은 특히 아침, 음식 섭취 후, 운동 후에 적용하면 효과적입니다.
현대적 치료법



최근에는 흡입용 corticosteroids와 같은 새로운 유형의 약물도 주목받고 있습니다. 이 약물들은 염증을 감소시키고 기관지를 안정시켜 호흡을 개선하는 데 도움을 줍니다. 하지만 이러한 약물들은 반드시 전문의의 처방을 받아 사용해야 합니다.
마지막으로, 기관지 확장증 치료는 개인에게 맞는 맞춤형 접근이 필요하며, 이를 위해 정기적으로 건강 검진을 받고 전문가의 조언을 받는 것이 필수적입니다. 무엇보다도, 기관지 확장증의 경우 조기에 발견하는 것이 치료 결과에 긍정적인 영향을 미칠 수 있습니다.
기관지 확장증은 일상에 큰 영향을 미치는 질병이지만, 조기에 적절한 치료를 통해 충분히 관리할 수 있습니다. 스스로의 건강을 챙기는 것이야말로 가정에 행복을 더하고 삶의 질을 높이는 첫걸음이 될 것입니다.


